3美分的廉价镜头,让你的智能手机秒变显微镜
2015-05-05 16:06:50 慕雪发布 来源:益择网
益择网讯(慕雪/编译)传统显微镜的镜头由像玻璃或塑料等机械抛光或注射成型的材料制成的,还有部分显微镜使用的是液体透镜,而上述镜头都需额外设备才能与智能手机连接,对于便携式操作十分不便。为此,休斯顿大学的研究人员发明了一款新型光学透镜,它不需额外设备就能直接安装到智能手机的摄像头上,将其变为一个放大120倍的便携式显微镜。该镜头可重复使用,且整个镜头的成本只有3美分。这款镜头非常适合实验室的年轻学生使用,且在临床应用中也具有巨大潜力。
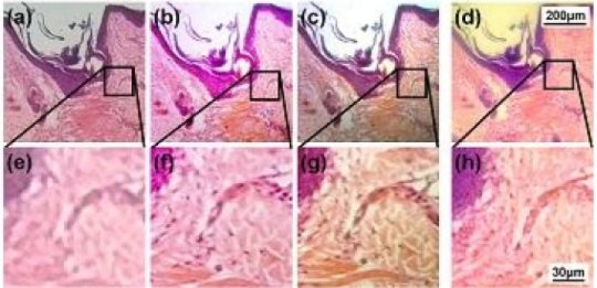
镜头由聚二甲硅氧烷(PDMS)制成,PDMS是类似蜂蜜的聚合物,由其制成的透镜的放大曲率取决于PDMS的加热时长和加热温度,因此镜头是灵活的,尽管它更厚更小,但它与软性隐形眼镜类似。“我们的透镜不需任何附件或机制支持就能将智能手机摄像头转换成显微镜,”研究人员说,“PDMS和玻璃之间强力但非永久性粘连使得镜头使用后很容易就能摘掉。”实验中,研究人员用智能手机PDMS系统和IX-70奥林巴斯显微镜同时获得了人体皮肤毛发毛囊组织的图像。结果表明,智能手机镜头放大了120倍,而奥林巴斯显微镜放大了100倍,而且基于软件的数字放大可以进一步增强智能手机显微镜的放大倍率。“材料成本只需1美分,批量生产的镜头单价约为3美分,这与造价10000美元的传统显微镜相比实在太便宜了。”研究人员说。
这一廉价、便捷的方式有助于年轻学生实地研究或教学工作。因为镜头与智能手机相连,因此通过电子邮件或文本分享图片十分方便,且镜片很便宜,即使丢失或损坏也不会造成过多损失。
- • 两篇Nature发布癌症重大突破:世界首创减少癌细胞转移的新方法 2023-08-04
- • 科技新篇章,共同聚焦2023宽禁带半导体先进技术创新与应用发展 2023-07-25
- • 纳米孔测序仪:小小“身躯”却是高精尖技术的“集大成者”——访齐碳科技联合创始人兼首席科学家白净卫 著作权归作者所有。 商业转载请联系作者获得授权,非商业转载请注明出处。 2023-07-11
- • 906项 2023年度河北省科学技术奖受理项目公示 2023-07-05
- 网友评论:
- 已有0条评论
②本网转载并注明自其它来源的作品或会员自行上传的资料,目的在于传递更多信息,并不代表本网赞同其观点或证实其内容的真实性,不承担此类作品侵权行为的直接责任及连带责任。其他媒体、网站或个人从本网转载时,必须保留本网注明的作品来源,并自负版权等法律责任。
③如涉及作品内容、版权等问题,请在作品发表之日起一周内与本网联系,否则视为放弃相关权利。